Smile Gallery

The image displays a close-up view of a person s teeth with yellow stains, showcasing a dental condition known as tooth discoloration or staining.

Before

The image shows a close-up of a person s teeth with a bright smile, emphasizing oral hygiene and dental health.

After

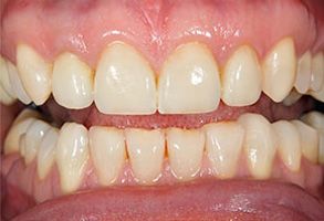
The image displays a close-up view of a person s teeth with visible signs of dental decay and discoloration, showcasing a need for dental care and treatment.

Before

The image shows a close-up of a person s teeth with visible staining, particularly on the front teeth, which are yellowed.

After

The image shows a close-up of a person s face with a focus on their mouth and teeth, which are clearly visible and appear well-maintained.

Before

The image displays a close-up of a person s face with a smile, showcasing teeth and lips, against a blurred background.

After

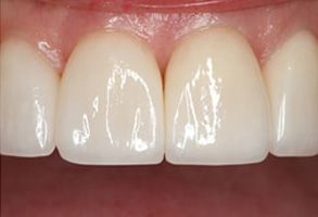
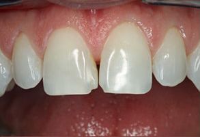
The image shows a close-up view of a person s mouth with teeth, including a prominent front tooth with a visible crown and surrounding gum tissue.

Before

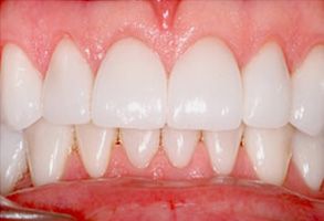
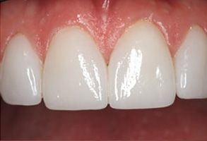
The image shows a close-up of a person s teeth, featuring a bright smile with a focus on the front teeth which are white and appear to be well-maintained.

After

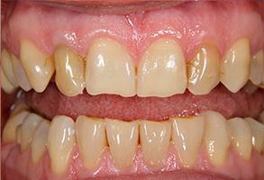
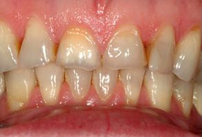
The image shows a close-up view of a person s teeth, which appear discolored with yellow stains and some tooth decay, suggesting a need for dental care or treatment.

Before

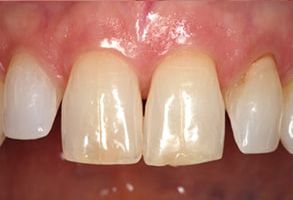
The image shows a close-up view of a person s teeth with a focus on the front teeth, which appear to be in the process of being whitened.

After

An image showing a close-up view of a person s teeth with an emphasis on a large gap between two front teeth, which appears to be a result of tooth decay or extraction.

Before

The image displays a close-up view of a person s teeth with a focus on a large gap between two front teeth, which are likely dentures, against a blurred background that appears to be a human mouth.

After

The image shows a close-up view of a person s teeth with visible decay and stains, emphasizing dental health issues.

Before

The image shows a close-up view of a person s mouth with visible teeth, including some dental work such as a bridge or implant, and gums that appear healthy.

After

Schedule a visit today!
Contact Us
Submit

Thank You!

We appreciate you taking the time to visit our site. We'll review your message and be in touch with you soon.

Continue
The image shows a city skyline with the Manhattan Bridge visible over a river at sunset, with the city s lights reflecting on the water surface.